Las carillas dentales se han convertido en todo un fenómeno tras el fin de las restricciones ocasionadas por el Covid-19. Su crecimiento se está presentando a la par del auge de los tratamientos estéticos en general.
Durante 2020, la demanda de tratamientos estéticos se incrementó en un 70 %. Dentro de ellos, la implantación de carillas dentales aumentó en un 49 %, siendo uno de los procedimientos más solicitados. Según la red Cleardent, el fenómeno se debe a sus múltiples ventajas.
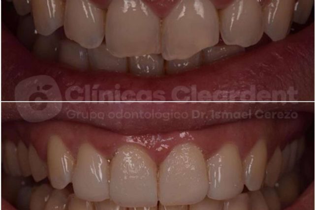
Las carillas dentales y sus ventajas
Las carillas dentales son procedimientos estéticos que tienen como objetivo corregir problemas estéticos o patológicos de los dientes. Consiste en enmascarar la parte visible de la dentadura con unas piezas elaboradas a la medida. La red de clínicas Cleardent compara su colocación con el de una uña postiza, ya que se adhiere a la parte frontal y externa de la dentadura.
Estas piezas estéticas pueden ser cerámicas o de composite; dentro de las cerámicas hay varios tipos. Tienen un espesor aproximado de 0,5 milímetros. Las de cerámica o porcelana son las más resistentes y duraderas, mientras que las de composite son más económicas, pero con menor vida útil.
Otras de sus ventajas es que es una técnica rápida y sencilla. Las carillas son bien toleradas por las encías y tienen un aspecto muy natural. Se caracterizan por necesitar poca o ninguna eliminación de la estructura dental del paciente, algo que sí ocurre con la colocación de coronas. Su aplicación mejora automáticamente la autoestima del paciente haciéndolo sonreír con mayor seguridad.
Aplicaciones más comunes para las carillas dentales
Cleardent advierte que su uso solo es aplicable en las piezas dentales frontales, tanto superiores como inferiores. La firma asegura que consiste en un tratamiento efectivo, poco invasivo y muy indicado para pequeñas fracturas, manchas o desviaciones ligeras. La compañía asegura que hay una serie de patologías específicas para las cuales las facetas dentales, como también se les conoce, resultan la mejor opción.
En este sentido, Cleardent destaca, por ejemplo, los casos de diastemas, que es cuando 2 dientes están muy separados entre sí. Igualmente, son muy recomendables en los casos de microdoncia o dientes pequeños que hacen lucir a la encía más grande de lo normal. También son una solución para las personas que han perdido el esmalte dental con el paso de los años.
Muchas personas que tienen el interés de lucir una sonrisa perfecta, las están usando, aunque no tengan ninguna de estas patologías. Cleardent asegura que lo más importante es hacer este u otro procedimiento dental solo con profesionales expertos. Hoy en día, este grupo clínico odontológico cuenta con personal cualificado en Almería, Cádiz, Córdoba, Granada, Jaén, Málaga y Sevilla. Ellos comenzaron hace 15 años y disponen de 32 clínicas asociadas.
