La técnica ALL ON 4 permite colocar sobre 4 implantes la arcada dental completa de forma fija en un solo día y con mayor tasa de éxito que otros procedimientos alternativos, con la ventaja de salir de la clínica con una dentadura fija y con una vida normal. Es una técnica innovadora e inmediata que permite colocar un diente en un día.
El equipo profesional de Dentinova, dirigido por el Dr. Fernando Gérman, está especializado en la técnica que permite colocar todos los dientes en la misma intervención en la mayoría de los casos donde las piezas dentarias han tenido que ser retiradas o lo serán en lo inmediato, y también en casos de portadores de dentaduras móviles que deseen cambiar a un sistema fijo.
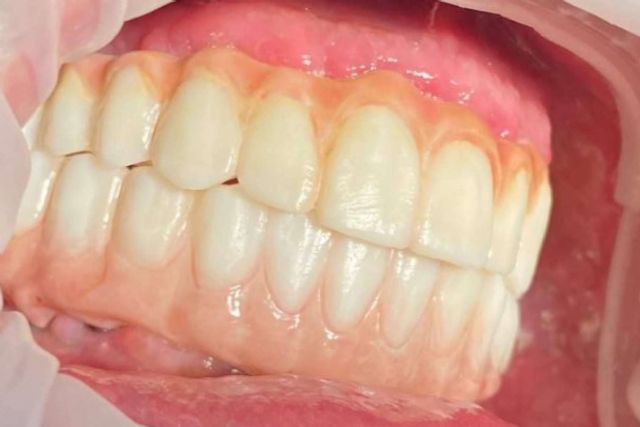
Se puede realizar a través de las técnicas más avanzadas y predecibles, esto es posible gracias a las extracciones de las piezas dentarias y la colocación inmediata de implantes con una dentadura fija en la misma sesión, gracias a la impresión 3D de Dentinova.
Este sistema innovador permite la colocación de 4 o 5 implantes e inmediatamente la prótesis fija previamente diseñada.
Además, con los últimos avances en bioingeniería se han simplificado enormemente las técnicas quirúrgicas donde se colocaban de 6 a 8 o 10 implantes a solo 4 o 5 con una distribución equilibrada.
Por otro lado, con las técnicas tradicionales se mantenían por partes las prótesis para evitar la tensión del material y que afectara al hueso, de esta manera, con estas técnicas innovadoras, y gracias a la fabricación de dentaduras mediante procesos robotizados en impresión 3D y el uso de materiales de mayor calidad, permite poder realizar una pieza entera sin tensión y simplificando los procedimientos.
Se ha comprobado que el éxito de la restauración dental no reside en realizar mayor número de implantes, sino en la calidad de los materiales y en la calidad del hueso que se ancla.
Por esta razón, se emplean excelentes y avanzados materiales para dar la mayor comodidad a los pacientes en el menor tiempo posible, facilitando una mejor calidad de vida y mínimas molestias.
Fijación total
La colocación de los implantes se hace en la zona más frontal o delantera del maxilar porque es la zona con mayor densidad y calidad.
La colocación de la prótesis está mecanizada por un sistema de robotización que permite el ajuste pasivo y la fijación total de la dentadura, basada en la posición ideal de los dientes y estética. El Dr. Fernando Gérman cuenta con un posgrado en la Universidad de Nueva York y es especialista en fobia dental.
