El cambio en el color de los ojos es un deseo estético que tienen muchas personas, lo cual, hasta hace muy poco, se conseguía normalmente con el uso de lentillas. Sin embargo, en la actualidad, es posible cambiar el color de los ojos gracias a una tecnología que funciona mediante láser. Este procedimiento se conoce como Iridoplastia láser.
Son muy pocas las clínicas especializadas en este tratamiento estético. Sin embargo, en España se encuentra la Clínica Eyecos, que anuncia que se cumplen 11 años desde que empezaron a implementar el tratamiento de cambio de color de ojos con láser.
¿En qué consiste el cambio de color de ojos con láser?
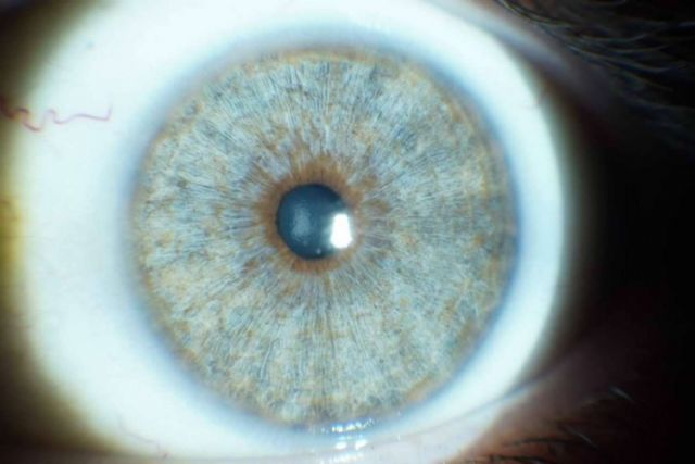
El cambio de color de ojos con láser, o iridoplastia, es un procedimiento relativamente reciente que consiste en la despigmentación del iris mediante el uso de láser. Este actúa sobre la melanina, pigmento responsable de dar color a los ojos. A mayor cantidad de melanina, el color de los ojos es más oscuro (negro, marrón), mientras que a menor cantidad es más claro (azul, verde, miel). En este sentido, la iridoplastia se basa en eliminar, de forma selectiva, la melanina del iris para despigmentarlo y cambiar su color. Una vez destruido el pigmento, este pasa al humor acuoso del ojo para posteriormente ser eliminado.
En la Clínica Eyecos, hacen uso del NewEyes 7G Ultimate Custom Laser, un láser diseñado y creado por el propio centro, el cual representa lo último en tecnología para el cambio de color de ojos. Gracias a este dispositivo, se puede cambiar el color del iris de una manera segura y eficaz, a través de un proceso ambulatorio y no quirúrgico, con una tasa de éxito prácticamente del 100 %.
Indicaciones terapéuticas
El contratiempo más frecuente que se ha podido observar tras el tratamiento de cambio de color de ojos con el NewEyes 7G Ultimate Custom Laser es la aparición de una iritis leve y un enturbiamiento de la visión, que puede durar aproximadamente 5 horas. Sin embargo, todos estos síntomas secundarios son transitorios y desaparecen en su totalidad en un máximo de 48 horas. Por lo general, el paciente no debe hacer más que esperar un breve tiempo para tener sus ojos nuevamente en perfectas condiciones y con su color nuevo.
Centros como Clínica Eyecos se encuentran actualmente a la vanguardia de las investigaciones sobre el cambio de color de ojos con láser. Esto se puede notar en los nuevos láseres que fabrica, cada vez más avanzados y seguros; en su participación en diferentes congresos, y en la publicación de libros propios, como los 3 volúmenes de NewEyes by Eyecos Book Series. Además de eso, el departamento de I+D+i de la clínica también está llevando a cabo investigaciones sobre este procedimiento que avanzan considerablemente hacia nuevas mejoras.
