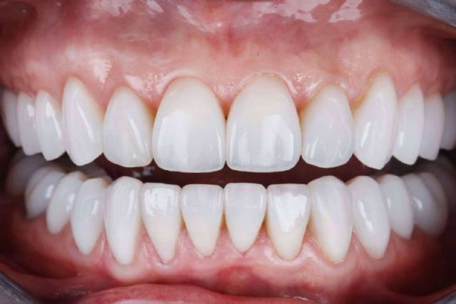
Una solución para mejorar la apariencia de los dientes son las carillas dentales.
Están diseñadas para cubrir la parte frontal de los dientes y pueden ayudar a corregir una amplia variedad de problemas dentales cosméticos, como dientes manchados, descoloridos, deformes, desalineados, rotos o con espacios entre ellos.
La Clínica Dental Ruiz de Gopegui tiene la misión de ofrecer el mejor servicio odontológico. Ofreciendo la mayor gama de tratamientos dentales posibles, trabajan no solo el tratamiento con carillas de porcelana, sino también con carillas de composite, de manera que los clientes reciban un servicio a medida y exclusivo.
¿Cómo es el procedimiento de colocación de carillas de composite?
En la Clínica Dental Ruiz de Gopegui, en el tratamiento de estética dental sobre la colocación de carillas se aplica un protocolo inicial similar al de las carillas de porcelana.
En primer lugar, se hacen fotos y se analiza la estructura y movimientos faciales del paciente involucrados en la sonrisa. Esta información sirve tanto para determinar si el paciente es un buen candidato para las carillas, así como para realizarle una muestra mediante un programa de diseño digital que ilustre la sonrisa buscada. Una vez evaluado el diseño de los dientes por el cliente y realizadas las correcciones pertinentes que haya solicitado, comienza el proceso de aplicación de la carilla.
La principal ventaja de este tipo de tratamiento es que no se requiere una eliminación de la estructura del diente para la colocación de las carillas. El proceso inicia con el dentista aplicando una capa delgada de composite sobre el diente, para luego esculpirlo y modelarlo con el objetivo de obtener la forma y el tamaño deseados. Para endurecer el composite y fijarlo al diente se usa una luz especial, para un posterior pulido que le dé un aspecto natural y brillante.
Ventajas únicas con las carillas de composite
El composite es una resina de Bis-GMA que se mezclan con un conglomerado de sílice como partícula principal. Los composites utilizados para la zona estética presentan un mayor número de colores y translucidez, lo que permite imitar el aspecto natural del diente.
Asimismo, el proceso para su instalación es muy poco invasivo. Por ejemplo, en el caso de las carillas de porcelana, se requiere de una eliminación mayoritaria de esmalte para crear espacio para la carilla de porcelana, lo que resulta, en ciertos casos, en la aplicación de anestesia local. Por su lado, las carillas de composite, si bien duran menos que las de porcelana, no se necesita tallar los dientes, haciendo este proceso absolutamente indoloro. Además, la Clínica Dental Ruiz de Gopegui procura que la colocación se realice en un solo día, con una única sesión.
Si bien es un tratamiento asignado generalmente para pacientes jóvenes cuyo desarrollo corporal no se haya completado, la Clínica ofrece un servicio de atención en el que informan al cliente sobre las opciones existentes en tratamientos de salud y estética dental.
